Gambar Leukosit Pada Mikroskop

Oct 13, 2020

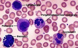
Leukosit (Sel Darah Putih) | luvidwiastuti Leukosit Adalah (Pengertian, Jenis, Cara Menurunkan, dan Obat Ampuh Untuk Anak Leukosit Adalah (Pengertian, Jenis, Cara Menurunkan, dan Obat Ampuh Untuk Anak Pemeriksaan - Hitung Jenis Leukosit - Taufik Zainal Analis Kesehatan: HEMATOLOGI: HITUNG JENIS LEUKOSIT MENGGUNAKAN IMPROVED NEUBAUER Hitung leukosit | Dokterboy blog’s Hitung jenis leukosit (Apusan Darah) | Info Laboratorium Medik Leukosit 2 6 BAB II TINJAUAN PUSTAKA 2.1. Leukosit Leukosit merupakan sel darah putih yang diproduksi oleh jaringan hemopoetik untuk jenis Sel-Sel Darah dan Fungsinya – Berbagi Informasi Mengenai Ilmu Veteriner Granulosit dan Agranulosit pada Leukosit | ASJS Limfosit: Penyebab, Jenis, Fungsi, Nilai Normal, dll - DokterSehat Sel darah - Wikipedia Bahasa Melayu, ensiklopedia bebas Ciri-ciri Leukosit: Pengertian, jenis, fungsi – Adalah.top AFIESH SP: HEMATOLOGI IKAN Fungsi Sel Darah Putih (Leukosit) untuk Setiap Jenisnya | HonestDocs Pemeriksaan Sel Leukosit Pada Sediaan Apus Darah | Info Laboratorium Medik PEMERIKSAAN JUMLAH LEUKOSIT DAN HITUNG JENIS LEUKOSIT PADA PASIEN TUBERKULOSIS RAWAT INAP DI RSUD CIAMIS TAHUN PDF Download Gratis Leukosit polimorfonuklear karakteristik, pembentukan dan fungsi / Biologi | Thpanorama - Jadikan diri Anda lebih baik hari ini! Leukosit adalah: Pengertian, jenis, fungsi, gangguan – Apa-Itu.Net GAMBARAN HITUNG JENIS LEUKOSIT DENGAN PEWARNAAN KOMBINASI GIEMSA DAN WRIGHT DI LABORATORIUM STIKes MUHAMMADIYAH CIAMIS - PDF Download Gratis Macam Jenis dan Fungsi Sel Darah Putih (Leukosit) – Pelatihan IT Fidi,, HEMATOLOGI : JENIS-JENIS SEL DARAH Sel Darah Putih : Pengertian, Fungsi, Ciri, Jenis & Kekurangan Anemia Aplastik, Sel Darah Turun Semua – Patologi Klinik 2 Jenis Sel Darah Putih - Pengertian, Fungsi dan Kelainan 6 BAB II TINJAUAN PUSTAKA 2.1. Leukosit Leukosit merupakan sel darah putih yang diproduksi oleh jaringan hemopoetik untuk jenis KIMIA KLINIK Infeksi yang Disebabkan Kelainan Sel Darah Putih Paper Title (use style: paper title) Pemeriksaan Hitung Jumlah Leukosit Metode Pipet - Indonesian Medical Laboratory MENGHITUNG JUMLAH (ANTAL) LEKOSIT - ANALIS SMK BANTUL Kelainan Komponen Leukosit Sel Darah Putih | Biologi | Sridianti.com 6 BAB II TINJAUAN PUSTAKA 2.1. Leukosit Leukosit merupakan sel darah putih yang diproduksi oleh jaringan hemopoetik untuk jenis LAPORAN RESMI PRAKTIKUM BIOLOGI PERHITUNGAN JUMLAH ERITROSIT DARAH - PDF Free Download Leukosit: Pengertian, ciri-ciri, jenis dan fungsinya – Hisham.id praktikum penghitungan sel darah - [DOCX Document] Klasifikasi Sel Darah Putih Menggunakan Metode Support Vector Machine (SVM) Berbasis Pengolahan Citra Digital Sel Darah Putih - Pengertian, Kekurangan, Jenis Ciri Dan Gambar Leukosit Adalah (Pengertian, Jenis, Cara Menurunkan, dan Obat Ampuh Untuk Anak Leukosit Ilmu Pengetahuan: DIFFERENTIAL COUNT WBC (HITUNG JENIS LEUKOSIT) LEUKIMIA Menghitung Jumlah Sel Leukosit Metode Visual — Online Text Book ATLM Pemeriksaan Sedimen Urine - Indonesian Medical Laboratory Hematologi : Koagulasi Dan Perhitugan Sel Darah - PDF Download Gratis Mikroskopis Urine : Sel Darah Putih dan Cast Sel Darah Putih | Info Laboratorium Medik KARAKTERISTIK BENTUK DAN UKURAN SEL DARAH IKAN BETOK Hidayaturrahmah Program Studi Biologi Fakultas MIPA Universitas Lambung Man BAB II TINJAUAN PUSTAKA A. Telaah Pustaka 1. Urinalisis a. Pengertian Urinalisis berasal dari bahasa Inggris urinalysis yang mer Trombositopenia | Gejala, Diagnosis, Pengobatan Klasifikasi Sel Darah Putih Menggunakan Metode Support Vector Machine (SVM) Berbasis Pengolahan Citra Digital Pemeriksaan Air Seni/ Urinalisis - Sel-Sel yang Terlihat - DokterSehat KARAKTERISTIK BENTUK DAN UKURAN SEL DARAH IKAN BETOK Hidayaturrahmah Program Studi Biologi Fakultas MIPA Universitas Lambung Man Analis Kesehatan: Pemeriksaan Liquor Cerebro Spinalis Jenis jenis leukosit dalam lapang pandang Asli - YouTube tugas matakuliah fisiologi manusia leukosit Apa yang dimaksud dengan Leukosit? - Ilmu Kedokteran - Dictio Community Mengobati Leukemia dengan Imunoterapi | Republika Online Anatomi dan Fisiologi Darah | Nerslicious Pergeseran Leukosit (Leukocytes Shift) | Arga Aditya Retikulosit - Wikipedia bahasa Indonesia, ensiklopedia bebas Leukositosis( peningkatan leukosit dalam darah): norma atau patologi? Peranti bioMEMs hasil penyelidikan 3 UA Leukosit dalam Urin | Info Laboratorium Medik Ciri-ciri Leukosit: Pengertian, jenis, fungsi – Adalah.top BUKU REGISTRASI LABORATORIUM - Pemandangan di balik Mikroskop (Bagian 1) - Wattpad Paper Title (use style: paper title) Apa yang akan terjadi jika dolar tidak mau. Apa yang akan terjadi jika dolar runtuh atau Leukosit Sel Darah Manusia 100x - 1000x pembesaran | Mikroskop Optic Zoom - YouTube Hematuria - Wikipedia bahasa Indonesia, ensiklopedia bebas Leukosit Tinggi Setelah Tes Laboratorium, Ini Artinya DOC) PROPOSAL PENELITIAN JUMLAH SEL DARAH PUTIH DAN DIFFRENSIASI LEUKOSIT PADA AYAM BROILER DENGAN PEMBERIAN HORMON TESTOSTERON DOSIS BERTINGKAT | sato adil - Academia.edu pemeriksaan jumlah leukosit dan hitung jenis leukosit pada pasien I. Dasar Teori DIFERENSIAL LEUKOSIT IKAN GURAMI (Osphronemus gouramy Lac.) DENGAN PERBEDAAN LEVEL SUPLEMENTASI Spirulina platensis DALAM PAKAN BAB II TINJAUAN PUSTAKA A. Telaah Pustaka 1. Urinalisis a. Pengertian Urinalisis berasal dari bahasa Inggris urinalysis yang mer Beginilah Keagresifan Sel Darah Putih Serang Penyakit - Tipsiana Paper Title (use style: paper title) 5 Jurnal Surya Medika Volume 3 No. 2 [2018] ARTIKELPENELITIAN MORFOLOGI EOSINOFIL PADA APUSAN DARAH TEPI MENGGUNAKAN PEWARNAAN G PENGARUH PEMBERIAN EKSTRAK DAGING BUAH KURMA AJWA (Phoenix dactylifera) DENGAN BEBERAPA DOSIS TERHADAP HITUNG JENIS - PDF Free Download Konsul Interpretasi Hasil Mikroskopik Urin Rutin - Diskusi Dokter Menghitung rumus leukosit: definisi, analisis, metode, dan aturan penghitungan - Perguruan tinggi dan universitas 2020 Gambaran Ulas Darah Kodok Lembu (Rana catesbeiana) Sel darah putih Stok Video, Sel darah putih Rekaman Bebas Royalti | Depositphotos® Obat Untuk Leukosit Tinggi | HonestDocs Laporan Hitung Jenis Leukosit Pemilihan Region of Interest Secara Otomatis pada Citra Leukosit | Journal of Informatics, Information System, Software Engineering and Applications (INISTA) Pemeriksaan Sedimen Urine Metode Sternheimer Malbin - Indonesian Medical Laboratory DIAGNOSIS HEMATOSEROLOGIS PADA INFEKSI - ppt download PDF) Total leukosit dan diferensial leukosit darah ayam broiler akibat penggunaan tepung onggok fermentasi rhizopus oryzae pada ransum LAPORAN Komponen Darah Dan Sel Hb Lany monosit Instagram posts - Gramho.com PPT - Kelainan leukosit PowerPoint Presentation, free download - ID:5538559 Anemia Aplastik | Gejala, Diagnosis, Pengobatan Leukosit Teknik Pewarnaan Gram - Alomedika DIFERENSIAL LEUKOSIT IKAN GURAMI (Osphronemus gouramy Lac.) DENGAN PERBEDAAN LEVEL SUPLEMENTASI Spirulina platensis DALAM PAKAN pmilomboktimur Instagram posts (photos and videos) - Picuki.com sel darah putih | SMK Abdurrab Pekanbaru

Gambar Alat Ukur Fisika

Gambar Minyak Bubut