Contoh Hewan Parasit

Oct 08, 2020

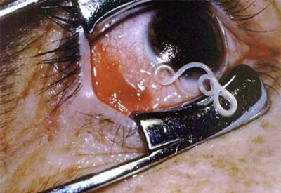
6 Hewan Parasit yang Berbahaya dan Merugikan Banget 6 Hewan Parasit yang Berbahaya dan Merugikan Banget Awas, Ini 5 Jenis Parasit yang Bisa Menyerang Tubuh Manusia - Global Liputan6.com 9 Hewan Parasit Mengerikan yang Hidup Bersarang Di Tubuh Manusia Numpang tapi Merugikan! 5 Parasit Mengerikan Ini Perlihatkan Kejamnya Kehidupan Alam Liar - Tribun Travel Infeksi Parasit - Gejala, penyebab dan mengobati – Alodokter 6 Hewan Parasit yang Berbahaya dan Merugikan Banget 5 Makhluk Mengerikan Ini Bisa Jadi Parasit di Tubuh Anda - Global Liputan6.com Pengertian Hewan Parasit dan Contohnya - satwa.foresteract.com 10 Parasit Paling Mengerikan di Dunia Cacing sapi keluar dari mata: bagaimana bisa parasit binatang pindah ke tubuh manusia? 20+ Contoh Simbiosis Parasitisme dan Penjelasannya [Lengkap] Cacing parasit - Wikipedia bahasa Indonesia, ensiklopedia bebas Parasit Membantu Mengungkapkan Aturan Ekologi Baru - Bisnis Negeri Agraria Ketika Parasit Menggerogoti Korbannya, Inilah yang Terjadi! - YouTube 9 Hewan Parasit Mengerikan yang Hidup Bersarang Di Tubuh Manusia 5 Makhluk Mengerikan Ini Bisa Jadi Parasit di Tubuh Anda - Global Liputan6.com 9 Jenis Jenis Parasit pada Kucing - ArenaHewan.com 10 Parasit Paling Mengerikan di Dunia Infeksi Parasit: Ciri, Penyebab, Cara Mengobati, dan Cara Mencegahnya Berbagai Penyakit Parasit Pada Kucing | Pro Plan Indonesia 5 Hewan ini Sering Dianggap Merugikan Bagi Manusia, Apa Saja, ya? - Semua Halaman - Bobo Cara Mengatasi Parasit Pada Ikan Koi - Dunia Fauna , Hewan , Binatang & Tumbuhan - Dunia Fauna , Hewan , Binatang & Tumbuhan 8 Tanda Ada Parasit Bersarang di dalam Tubuh Anda - Gaya Tempo.co Mengenal Lebih Dekat Ektoparasit Sama-sama Bikin Penyakit, Yuk, Kenali Bedanya Virus, Bakteri, dan Parasit, Agar Tak Salah Mengobati 5 Serangga Paling Menyeramkan yang Bisa Hidup di Tubuh Manusia | FEED - MERDEKA.COM Cacing Pita 2,8 Meter Ditemukan dalam Tubuh Pasien di Singapura - kumparan.com Kingdom Animalia: Klasifikasi dan Ciri-ciri Halaman all - Kompas.com Parasit Pada Ikan | UGM PRESS - Badan Penerbit dan Publikasi Universitas Gadjah Mada Contoh parasitisme dan organisme parasit (Biologi) | Usaha321.net Parasitisme adalah: Pengertian, jenis, Contoh – Adalah.top Ganas, 4 Parasit Ini Mampu Menggerogoti Tubuh Manusia Dari Dalam Simbiosis Parasitisme, Contoh, Pengertian, dan Gambarnya Lengkap 8 Parasit Paling Berbahaya Bagi Manusia, Ada Beberapa yang Menyebabkan Kematian - Tribun Travel Parasit 1 Pengertian Simbiosis Parasitisme, Jenis dan Contohnya Sebuah Parasit Jenis Baru Ini Bernama Twitter - Medcom.id Mahluk Mirip Cacing Ini Mungkin Moyang Seluruh Hewan, Begini Wujudnya Studi menunjukkan contoh parasit menggunakan bioweapon untuk mengendalikan inang Contoh Hewan Amoeba Parasit : Naegleria fowleri | Pratama Blog Ketahui Dampak Parasit Protozoa Bagi Tubuh Ditemukan! Kutu Parasit pada Bulu Dinosaurus Jual OBAT PARASIT HEWAN KUTU JAMUR CACING SEMUA PARASIT.KUCING ANJING KELIN - Kota Tangerang - PUPUSPETSHOP | Tokopedia Simbiosis Parasitisme : Pengertian, Jenis & Contoh Lengkap 7 Serangga Berbahaya yang Ada di Kasur dan Penyebabnya Contoh platyhelminthes: Ciri, klasifikasi, peranan | (definisi dan penjelasan) ApaYangDimaksud.com drh.Amirullah, M.Si: EKTOPARASIT DAN PENGENDALIANNYA Ciri-ciri, Contoh, dan Siklus Hidup Cacing Pita Dilengkapi Gambarnya Zombi di dunia nyata yang lebih aneh dari fiksi - BBC News Indonesia Pengertian Hingga Contoh Hewan Invertebrata dan Gambarnya [Lengkap] Caplak - Wikipedia bahasa Indonesia, ensiklopedia bebas Pengertian Arthropoda, Klasifikasi, Ciri, Jenis dan Contoh Contoh Hewan Kelas Protozoa yang Hidup Bebas dan Parasit PSYCHOLOGYMANIA Hati-hati! 7 Serangga Pemakan Kulit Manusia - YouTube Contoh Simbiosis Parasitisme- pengertian dan jenis | Biologi | Sridianti.com Platyhelminthes (Biologi Kelas X) Contoh Hewan Vertebrata dan Invertebrata | Siswapedia Ternyata Parasit Juga Berguna untuk Tubuh Manusia, Ini Buktinya! : Okezone techno Arachnida Parasit Kumpulan Berita PARASIT: Radang Otak Barli Asmara Berawal dari Tokso, Ini Cara Parasit Menginfeksi! Pengertian Arthropoda, Peranan, Klasifikasi, Struktur, Contoh Pengertian Protozoa - Contoh dan Jenisnya - DosenBiologi.com PPT) Pengantar Parasitologi | Mahara Dingga - Academia.edu Mengenal hewan berbuku-buku (Arthropoda) yang bisa hidup dimana-mana | merdeka.com Universitas Gadjah Mada 1 BAB II. PARASIT DAN Perbedaan antara Ektoparasit dan endoparasit (Biologi) | Usaha321.net Daftar Jenis Penyakit yang Bisa Ditularkan Hewan ke Manusia - Tirto.ID 7 Parasit Paling Mengerikan, Pemakan Lidah Hingga Cacing Bola Mata Mengenal Patogen, Penyebab Banyak Penyakit juraganbiologi | Smart Dengan Biologi Contoh Simbiosis Parasitisme, Materi Belajar dari Rumah TVRI untuk SMP, Jumat 12 Juni 2020 - Semua Halaman - Bobo Infeksi Parasit: Ciri, Penyebab, Cara Mengobati, dan Cara Mencegahnya Cacing sapi keluar dari mata: bagaimana bisa parasit binatang pindah ke tubuh manusia? Kelelawar, Hewan Pembawa 137 Virus Penyakit 5 Makhluk Mengerikan Ini Bisa Jadi Parasit di Tubuh Anda - Global Liputan6.com Kaki Gajah - Gejala, penyebab dan mengobati - Alodokter Memberi kutilang pada Darwin alat untuk melawan parasit sendiri - Lingkungan + energi 2020 Tengu yang Suka Bersemayam di Dalam “Burung” - Mojok.co Kingdom Animalia - Pengertian, Ciri-Ciri, Klasifikasi, Contoh Sturktur Protozoa : Ciri, Peranan, Habitat dan Klasifikasi | Murid.Co.Id Ikan sebagai Pangan (5): Hati-hati, Ada Potensi Bahaya Parasit Halaman 1 - Kompasiana.com ILMU PARASITOLOGI DAN MANFAATNYA DI BIDANG FARMASI - ppt download Ciri-ciri, Contoh, dan Siklus Hidup Cacing Pita Dilengkapi Gambarnya Parasitisme adalah: Pengertian, jenis, Contoh – Adalah.top Jual TRYPONIL Pengobatan Parasit Darah - - Obat Hewan | Tokopedia Page 163 - Alam Sekitar IPA Terpadu 7 Prolog Materi - Platyhelminthes - Cacing Pipih Pengertian parasit, nama penyakit, dan bentuknya | Info Global Kita Hewan Avertebrata - Klasifikasi, Ciri, Contoh & Sistem Ekskresi 7 Hewan Mematikan dan Paling Berbahaya di Dunia Specie Parasit Baru di Temukan di Aquarium Jepang - Asian Entertainment Showbiz 5 Cara Menghilangkan Parasit Pada Ikan Mas Koki - ArenaHewan.com Annelida : Pengertian, Contoh, Peranan, Gambar, Klasifikasi 9 Hewan Parasit Mengerikan yang Hidup Bersarang Di Tubuh Manusia Pengertian Arthropoda : Ciri, Sistem Organ, Reproduksi, Klasifikasi dan Contoh Arthropoda (Hewan Berbuku-Buku) – Pelajaran Sekolah Online Sparganosis, Penyakit Tropis yang Diabaikan pada Ular - Unair News 17+ Contoh Hewan Ovipar | Pengertian, Ciri, Dan Gambar (Lengkap) Hewan Pengerat - Pembasmi Hewan Pengerat | Rentokil Indonesia Kingdom Animalia: Ciri-ciri, Klasifikasi, dan Contoh Hewan | Guru Belajarku

Contoh Hewan Endemik Indonesia

Bekantan Dan Orangutan Merupakan Contoh Hewan Tipe